Request Request Appointment Like Us Like us on Facebook Reviews Read Our Reviews Call Give us a Call Map View our Map
Saturday, emergency, and evening appointments available

What’s the Best Filling and Restoration Material for Your Smile?

July 24, 2019

Filed under: Uncategorized — tntadmin @ 2:26 pm

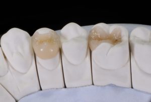
tooth-colored dental fillingDid you know that a dental filling can be made from various materials? This preventive treatment is more important than you may think. By getting the filling or dental crown that’s right for you, you can fortify your oral health and prevent headaches and invasive treatment down the road. Typically, most dentists that utilize the most modern techniques in their field utilize tooth-colored composite resin, porcelain, and ceramic for restorations, but there are other options available too. Read on to learn about different dental materials and how to choose the best option for you. (more…)

Ready To Get Started? Request an Appointment >